
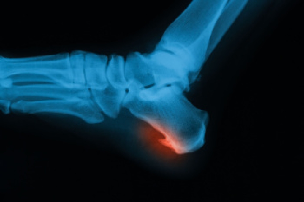
Plantar fasciitis is a common cause of heel pain that occurs when the thick band of tissue connecting the heel to the toes becomes inflamed. This is often due to overuse, improper footwear, obesity, or high-impact activities, such as running or jumping. The heel may look normal from the outside, but it can be tender to the touch and feel swollen in severe cases. Many individuals describe a sharp, stabbing pain with the first steps in the morning or after prolonged sitting, which can ease slightly with activity but worsen later in the day. Plantar fasciitis affects nearly 10 percent of the population at some point in their lives, making it one of the most common foot disorders. A podiatrist can diagnose the condition through a physical examination and gait analysis. Treatment may include stretching exercises, orthotics, supportive footwear, anti-inflammatory therapies, or advanced interventions for chronic cases. Early professional care helps reduce pain and prevent long-term complications. If you experience persistent heel discomfort, it is suggested that you make an appointment with a podiatrist.
Plantar fasciitis can be very painful and inconvenient. If you are experiencing heel pain or symptoms of plantar fasciitis, contact one of our podiatrists from Practice. Our practitioners can provide the care you need to keep you pain-free and on your feet.
What Is Plantar Fasciitis?
Plantar fasciitis is the inflammation of the thick band of tissue that runs along the bottom of your foot, known as the plantar fascia, and causes mild to severe heel pain.
What Causes Plantar Fasciitis?
- Excessive running
- Non-supportive shoes
- Overpronation
- Repeated stretching and tearing of the plantar fascia
How Can It Be Treated?
- Conservative measures – anti-inflammatories, ice packs, stretching exercises, physical therapy, orthotic devices
- Shockwave therapy – sound waves are sent to the affected area to facilitate healing and are usually used for chronic cases of plantar fasciitis
- Surgery – usually only used as a last resort when all else fails. The plantar fascia can be surgically detached from the heel
While very treatable, plantar fasciitis is definitely not something that should be ignored. Especially in severe cases, speaking to your doctor right away is highly recommended to avoid complications and severe heel pain. Your podiatrist can work with you to provide the appropriate treatment options tailored to your condition.
If you have any questions, please feel free to contact our office located in Gaithersburg, MD . We offer the newest diagnostic and treatment technologies for all your foot care needs.


